Smile Gallery

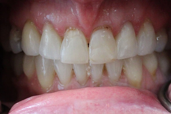
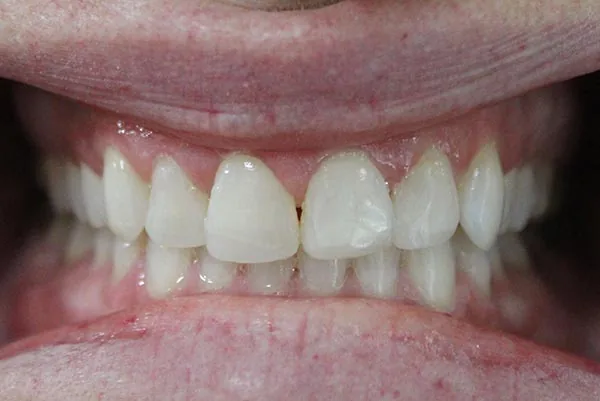
Before

After

 

Composite bonding using the Matrix System to close spacing and build up natural teeth.

 
 

Before

After

 

In-office whitening followed by composite bonding to the patient's upper anterior teeth and all four canines.

 
 

Before

After

 

Composite bonding to improve shape after completing Invisalign

 
 

Before

After

 

Replacing a broken ceramic crown with a direct placed composite.

 
 

Before

After

 

 
 

Before

After

 

 
 

Before

After

 

Contact Us

(530) 885-5696

    New Patient?








    Office Hours

    Monday:
    7:00am - 5:00pm
    Tuesday:
    7:00am - 5:00pm
    Wednesday:
    7:00am - 5:00pm
    Thursday:
    7:00am - 5:00pm
    Friday:
    7:00am - 12:00pm

    Contact Us

    698+ Google Reviews

    4.9 stars